GÃY HAI MẮT CÁ CHÂN
Thường được gọi bằng tên gãy mắt cá
Khi gãy mắt cá thì ngoài việc xương bị gãy, các dây chằng bám vào xương cổ chân còn bị rách, do đó cổ chân sẽ bị yếu, đau đớn nhiều
Thường gặp ở lứa tuổi 30 tuổi.
Nguyên nhân hay gặp là té ngã và tai nạn giao thông
Hình ảnh giải phẫu mắt cá trong, mắt cá ngoài cổ chân
Bác sĩ khám
Bác sĩ sẽ hỏi về nguyên nhân tai nạn, nếu té ngã, thì sẽ hỏi kỹ về cách té, có vặn xoắn cổ chân hay không
Các triệu chứng nhìn thấy ở cổ chân: Sưng đau, bầm tím, nhạy đau, không chống chân đi được vì rất đau, có thể biến dạng cổ chân so với bên lành
Sau đó bác sĩ cho chụp Xquang để nhìn hình dạng xương gãy, có gãy nát nhiều mảnh hay không, và từ phim Xquang thì bác sĩ sẽ có phân độ nặng nhẹ cho phù hợp, và từ phân độ sẽ đề ra cách điều trị tương ứng.
Gãy mắt cá chân có thể ở các dạng như sau:
Gãy mắt cá ngoài
Gãy mắt cá trong
Gãy mắt cá sau
Gãy hai mắt cá
Chúng ta sẽ đi lần lượt từng loại gãy mắt cá như vừa liệt kê:
Gãy mắt cá ngoài
Tùy theo vị trí cao thấp của đường gãy mà bác sĩ sẽ phân loại phù hợp
Điều trị không mổ
Nếu chỉ là gãy không di lệch, nứt xương mắt cá ngoài, bác sĩ đánh giá ổ gãy vững, thì sẽ điều trị không mổ, bằng cách bó bột. Sau 6 tuần thì bỏ bột và thay thế bằng nẹp phù hợp.
Điều trị phẫu thuật
Nếu gãy có lệch ổ gãy, bác sĩ đánh giá mức gãy làm mất vững cổ chân, thì cần phải mổ.
Mổ sẽ nắn xương lại, kết hợp xương bằng nẹp vít, khâu các dây chằng bị đứt
Sau mổ có đặt nẹp bột
Sau 12 tháng lành xương hoàn toàn, lúc này mổ lại để lấy nẹp vít ra
Gãy mắt cá trong
Mắt cá trong nhìn trên phim Xquang thì thấy là mảnh nhỏ nhưng thực tế nó là chỗ bám của các dây chẳng cổ chân, nên nó gãy, sẽ làm nhổ các dây chằng ra, làm mất vững cổ chân, gây đau đớn khi đi lại
Điều trị không mổ
Áp dụng nếu ổ gãy mắt cá trong không lệch, hình dung như vết nứt thôi
Điều trị không mổ bằng cách dùng bó bột, sau 6 tuần thì tháo bột và đổi sang nẹp phù hợp
Điều trị phẫu thuật
Áp dụng khi ổ gãy tách ra, như hình ở trên
Khi mổ sẽ nắn xương lại, rồi kết hợp xương, dụng cụ có thể chỉ gồm vít xốp, hoặc kèm thêm nẹp vít, hoặc dùng đinh và chỉ thép, tùy vào hình dạng cụ thể của ổ gãy
Sau 12 tháng sẽ lành xương hoàn toàn và được mổ lại để lấy dụng cụ ra
Gãy mắt cá sau

Bác sĩ sẽ dựa vào hình ảnh Xquang để quyết định có mổ hay không
Nếu mảnh xương lớn hơn 25% chu vi thân xương thì sẽ phải mổ để kết hợp xương lại
Điều trị không mổ
Khi mảnh xương không toác ổ gãy ra và mảnh gãy nhỏ hơn 25% chu vi thân xương
Bệnh nhân được bó bột trong 6 tuần, sau đó tháo bột, thay bằng nẹp phù hợp
Điều trị phẫu thuật
Nếu ổ gãy không vững thì cần phải mổ
Mổ nắn chỉnh xương và kết hợp xương lại, thường dùng vít xốp
Sau 12 tháng thì xương lành hoàn toàn, bác sĩ sẽ mổ lại để lấy dụng cụ ra
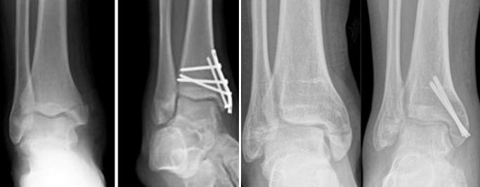
Gãy cả 2 mắt cá
Là gãy cả mắt cá trong lẫn mắt cá ngoài
Điều trị không phẫu thuật
Hầu như gãy 2 mắt cá đều phải phẫu thuật thì mới ổn định được
Điều trị phẫu thuật
Bác sĩ sẽ mổ nắn xương và kết hợp xương cả mắt cá trong và mắt cá ngoài, khâu các dây chằng đứt lại để giữ vững cổ chân khi đi lại
Sau khoảng 12 tháng thì xương lành hoàn toàn và bác sĩ mổ tháo dụng cụ ra






Để lại bình luận của bạn