GÃY MỎM KHUỶU
Thường gặp ở người trẻ
Nguyên nhân thường gặp là té chống tay, té đập khuỷu và tai nạn giao thông
Giải phẫu
Mỏm khuỷu nằm sát ngay dưới da, nên dễ bị tổn thương khi té ngã
Bác sĩ khám
Bác sĩ sẽ hỏi kỹ về nguyên nhân tai nạn, để bao quát toàn bộ các chấn thương tiềm tàng trước khi bắt đầu khám
Triệu chứng bệnh nhân thường có là đau ở vùng khuỷu, sưng khuỷu, gấp duỗi khuỷu thấy rất đau, và nghe tiếng lạo xạo của xương cọ xát.
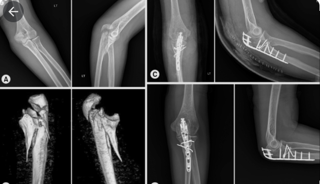
Sau đó bác sĩ sẽ cho chụp Xquang ở khuỷu tay, trên phim sẽ nhìn thấy đường gãy, có nát xương nhiều không, và có phân loại phù hợp
Phân loại
Tùy vào hình dạng ổ gãy nhìn thấy trên phim Xquang mà bác sĩ sẽ phân loại kiểu gãy thành 6 loại. Mỗi loại sẽ có cách điều trị thích ứng. Nên việc phân loại chính xác sẽ giúp điều trị chuẩn cho từng bệnh nhân cụ thể.
Điều trị
Điều trị không mổ
Ít dùng
Dùng trong trường hợp ổ gãy không lệch nhau
Dùng phương án nẹp bột hoặc bó bột cánh bàn tay, giữ bột trong 4 tuần, kiểm tra tái khám thường xuyên, chụp Xquang để đánh giá kỹ xem phương pháp hiện dùng có phát huy tác dụng hay không
Điều trị phẫu thuật
Dùng cho gãy mỏm khuỷu mà ổ gãy lệch nhau
Lúc này mổ để nắn chỉnh xương lại, và kết hợp xương bằng dụng cụ. Có nhiều loại dụng cụ như:
Đinh và chỉ thép néo ép số 8
Nẹp vít chuyên dụng cho mỏm khuỷu

Đinh vít






Để lại bình luận của bạn