GÃY THÂN XƯƠNG CÁNH TAY
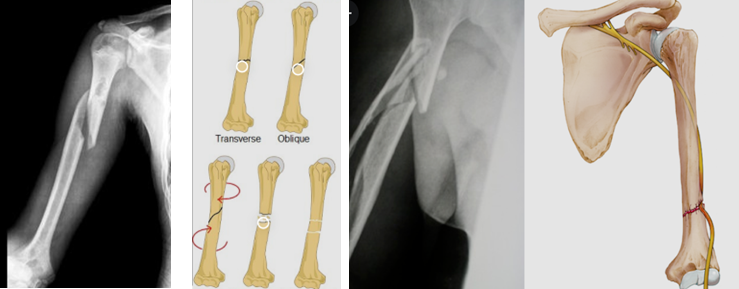
Xương cánh tay có nhiều cơ bám vào, nên khi gãy thường gây di lệch ổ gãy
Thần kinh quay ở sát thân xương cánh tay, nên khi gãy dễ bị mảnh gãy cứa đứt dây thần kinh khiến mất cảm giác và vận động cổ tay
Bác sĩ khám
Bác sĩ sẽ hỏi rõ nguyên nhân của tai nạn để đánh giá chung về các tổn thương tiềm tàng
Thường gặp nguyên nhân do té ngã, vặn xoắn tay, tai nạn giao thông
Các triệu chứng thường thấy: Sưng đau cánh tay, biến dạng cánh tay, bệnh nhân khó cử động cánh tay do ổ gãy lệch gây đau đớn
Bác sĩ sẽ khám về mạch máu ở cổ tay để xem có tổn thương động mạch kèm với gãy xương không
Bác sĩ sẽ khám vận động các ngón tay để xem có tổn thương thần kinh quay kèm với gãy xương không, đây là biến chứng phối hợp hay gặp trong loại bệnh này
Sau đó Bác sĩ sẽ cho chụp phim Xquang
Trên phim Xquang bác sĩ sẽ thấy vị trí của ổ gãy, kiểu gãy ngang hay chéo hay gãy có nhiều mảnh
Nếu có tổn thương mạch máu thì sẽ có siêu âm kèm theo
Điều trị
Điều trị không mổ
Hầu hết gãy thân xương cánh tay có thể điều trị không mổ vẫn đạt hiệu quả tốt
Phương pháp là nắn xương, bó bột hoặc đeo nẹp phù hợp, theo dõi sát sao bởi bác sĩ, có chụp phim Xquang kiểm tra coi phương án có giữ được hiệu quả xuyên suốt những lần tái khám, có bài tập hỗ trợ phù hợp với từng bệnh nhân cụ thể
Điều trị bằng phẫu thuật
Được chỉ định khi: Nắn xương kín thất bại, gãy nhiều mảnh xương, gãy có kèm biến chứng thần kinh hay mạch máu
Điều trị phẫu thuật có các phương pháp mổ kín và mổ hở
Mổ kín sẽ đóng đinh nội tủy, đường mổ nhỏ, tuy nhiên không phải dành cho mọi trường hợp, cụ thể trường hợp nào bác sĩ sẽ thảo luận chi tiết đối với loại gãy trên từng bệnh nhân lúc khám bệnh
Mổ mở kết hợp xương bằng nẹp vít
Đường mổ có thể sử dụng như sau:
Đường trước trong: Dùng cho gãy ở 2/3 trên xương cánh tay
Đường sau: Gãy 1/3 dưới xương cánh tay
Đường ngoài: Dùng cho gãy xương cánh tay kèm biến chứng thần kinh
Việc dùng đường mổ nào, tùy thuộc vào loại gãy xương cụ thể, vì mục đích chọn đường mổ là để thuận tiện trong việc điều trị và mang tới sự chính xác khi phẫu thuật cho bệnh nhân. Do đó, khi khám và chữa cho từng bệnh nhân bác sĩ sẽ thảo luận rõ chi tiết cho bệnh nhân và người nhà đầy đủ thông tin trước khi có quyết định điều trị một cách rõ ràng.
Biến chứng
Tổn thương thần kinh quay: Xảy ra trong 18% số ca gãy xương cánh tay. Khi gặp biến chứng này bệnh nhân sẽ bị liệt thần kinh quay, gây mất duỗi cổ tay. Chiến lược điều trị là mổ xương kèm mổ nối vi phẫu thần kinh quay, cùng với quá trình tập luyện sau mổ, dự kiến sau nối vi phẫu thần kinh sẽ phục hồi sau 12 tháng, đây là thời gian cần thiết để các tế bào thần kinh mọc lại sau khi nối. Ở người trẻ tuổi thì thời gian này có thể ngắn hơn một chút do khả năng phục hồi của người trẻ là rất mãnh liệt.
Tổn thương mạch máu: Cũng ít gặp. Nếu có, thì chiến lược là vừa mổ xương vừa tiến hành nối vi phẫu động mạch cánh tay, động mạch nếu nối tốt thì chỉ sau 7 ngày đã thông suốt và đảm bảo cấp máu cho cả cánh tay
Khớp giả, không liền xương: Gặp 15% số ca mổ kết hợp xương cánh tay, tỉ lệ khá cao so với các loại gãy xương khác. Nếu gặp biến chứng này, bệnh nhân sẽ được mổ lại, làm sạch mô xơ của ổ gãy và tiến hành kết hợp xương lại bằng nẹp vít mới cùng với ghép xương vào ổ gãy





Để lại bình luận của bạn